দাঁতে হালকা ব্যথা অনুভব করলে আপনারা তৎক্ষণাৎ ডেন্টেস্টের কাছে গিয়ে চেকআপ করান। কারণ দাঁতের সামান্য ব্যথা এবং শীর্ষনি অনুভব থেকে গুরুতর দাঁতের সমস্যা ধারণ করতে পারে। দাঁতের সামান্য ব্যথা হওয়া স্বাভাবিক কিন্তু এই ব্যথা যদি বারবার হয় তাহলে বুঝতে হবে সেটা স্বাভাবিক নয়। ডাক্তার যদি কোন সমস্যা হয় তাহলে সেটা ছোট করে দেখার কোন প্রশ্নই ওঠে না কারণ যাদের দাঁতের বিভিন্ন ধরনের সমস্যা হয় তারাই বোঝে এর যন্ত্রণা। এজন্য আপনাদের সতর্ক করতে আজকে আমাদের এই আর্টিকেলটি তৈরি করা হয়েছে।
এই আর্টিকেলটির মাধ্যমে আপনারা বুঝতে পারবেন যে সামান্য দাঁত ব্যথা থেকে সেটা কতগুলো রূপ নিতে পারে। ঠান্ডা এবং গরম জল খেলে দাঁত শিরশিরানি টা একটি খুবই কমন এবং স্বাভাবিক সমস্যা। ১০০ জন লোকের মধ্যে প্রতি ৭০ জন লোকেরই দাঁত শিরশির করার সমস্যা রয়েছে। আপনি কি জানেন দাঁত শির শির করা হলো দাঁতের যে কোন ধরনের সমস্যার পূর্ব লক্ষণ।
তাই প্রিয় বন্ধুগণ আপনাদের দাঁতের যত্ন নিন। একবার ভাবুন তো আপনার দাঁত যদি না থাকে তাহলে আপনি আপনার পছন্দের খাবারগুলো কিভাবে খাবেন। খাবার ঠিকমতো চিবিয়ে না খেলে হজমের সমস্যা হয় ,যা স্বাস্থ্যের জন্য খুবই ক্ষতিকর। তাই সময় থাকতে নিজের দাঁতের যত্ন নিন। যখন সময় চলে যাবে তখন আপনি বুঝতে পারবেন যে দাঁতের গুরুত্ব কতখানি। দাঁতের ছোটখাটো সমস্যা যদি অগ্রাহ্য করেন তাহলে পরবর্তীতে দাঁত পড়ে যাওয়ার মত সমস্যা দেখা দিতে পারে।
এছাড়াও দাঁতের বিভিন্ন ধরনের সমস্যা রয়েছে যা খুবই ভয়াবহ।যেমন দাঁতের মাড়ি ব্যথা, দাঁতের মাড়ি ফুলে যাওয়া ,দাঁতের মাড়ি লাল হয়ে থাকা,
দাঁতের মাড়ি থেকে রক্ত ঝরা, দাঁত দুর্বল হয়ে যাওয়া,দাঁতের মধ্যে যন্ত্রণা এবং ব্যথা, দাঁত ক্ষয় হয়ে যাওয়া, দাঁতভাঙ্গুর হয়ে যাওয়া ,দাঁত শির শির করা, দাঁতের মাড়িতে ঘা ,দাঁতের মাড়ি ফুলে ক্যান্সার এর মতো ভয়াবহ ঘা, দাঁত থেকে রক্ত পড়া, মুখের দুর্গন্ধ ইত্যাদি বিভিন্ন ধরনের দাঁতের সমস্যা রয়েছে।
দাঁতের ক্ষয় সবার কাছে ডেন্টাল ক্যারিজ বা ডেন্টাল ক্যাভিটি নামেও পরিচিত। এটি দাঁতের খুবই সাধারণ সমস্যা। কার্যত প্রত্যেকেই জীবনের কোনো না কোনো সময় দাঁতের ক্ষয় অনুভব করেছে। ব্যাকটেরিয়া যখন দাঁতের পৃষ্ঠে প্লাক নামে একটি প্রলেপ তৈরি করে তখন দাঁতের ক্ষয় সৃষ্টি হয়। খাবারের শর্করা থেকে ব্যাকটেরিয়া অ্যাসিড তৈরি করে। ব্যাকটেরিয়ার তৈরি অ্যাসিডগুলো দাঁতের এনামেল বা বাইরের স্তরকে স্থায়ীভাবে ক্ষতিগ্রস্ত করে। এসব অ্যাসিড যখন এনামেলের নিচে ডেন্টিন স্তরকে নষ্ট করা শুরু করে তখনই দাঁতের ভাঙন দেখা দেয়। এর কারণে দাঁতে ব্যথাও হয়। ফলে গরম, ঠাণ্ডা বা মিষ্টি খাবার খেলেই দাঁতে ব্যথা অনুভূত হতে পারে।
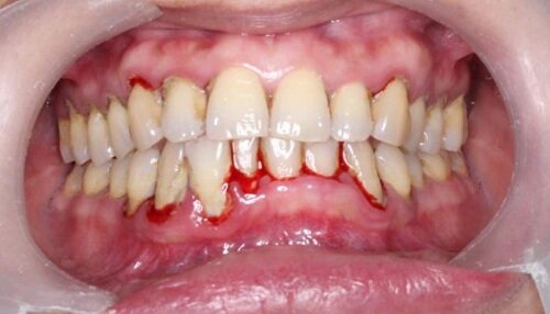
এখন আমরা দাঁতের সমস্যার কিছু পিকচার ছবি দেখব। এই ছবিগুলো দেখলে আমরা বুঝতে পারবো যে দাঁতের সামান্য ব্যথা এবং সামান্য শিরশির করা থেকে কি গুরুতর রূপ নিতে পারে। দাঁতের সমস্যার এই ছবিগুলো দেখলে আপনি বুঝতে পারবেন যে ,দাঁতে যদি এরকম ধরনের সমস্যা হয়ে থাকে তাহলে আমাদেরকে কতটা যন্ত্রণা সহ্য করতে হতে পারে। এবার চলুন আমরা দেখে নেব দাঁতের সমস্যার পিকচার গুলি। যেরকম দাঁতের মাড়িতে ঘা, দাঁত থেকে রক্ত পড়া এই সকল গুরুতর সমস্যার পিকচার গুলি দেখলে আপনি সচেতন হবেন এবং নিজের দাঁতের যত্ন নিতে শিখবেন।

















উপরের এই ছবিগুলো দেখে আপনি নিশ্চয় সতর্ক হবেন। এই ছবিগুলো শেয়ার করার মাধ্যমে আপনি আপনার আশেপাশের লোকজনকে সচেতন করতে পারবেন। নিজের সচেতন হোন এবং অন্যকে সচেতন হতে সাহায্য করুন।দাঁত ক্ষয়ের লক্ষণগুলোর মধ্যে রয়েছে নিশ্বাসের দুর্গন্ধ, দাঁতে কালো বা বাদামি দাগ, মুখে অপ্রীতিকর স্বাদ ইত্যাদি।দাঁতের ক্ষয়ের মাত্রা নির্ণয় করে ক্ষয়রোগের চিকিৎসা শুরু হয়। এর ভিত্তিতে দাঁতের ডাক্তাররা কিছু পদক্ষেপ সুপারিশ করেন। এর মধ্যে ফিলিং, ডেন্টাল ক্রাউন বা ক্যানাল করা লাগতে পারে। অনেক সময় দাঁত ফেলে দিতেও হতে পারে। যদিও এরপর বিভিন্নভাবে দাঁত প্রতিস্থাপন করা যায়। প্রতিদিন নিয়মিত দুবার দাঁত ব্রাশিং ও মাধ্যমে দাঁতের ক্ষয় রোধ সম্ভব। এছাড়া ডেন্টিস্টের কাছ থেকে নিয়মিত চেকআপ করা দরকার।